- 14 Octubre, 2025
- By Oficina de Comunicaciones
- In Noticias, Prensa
- 817
- 0

El ataque cerebrovascular (ACV) es una emergencia médica. Conocer sus síntomas y actuar a tiempo, trasladando al paciente a un establecimiento de salud especializado, es crucial, puede hacer la diferencia entre su recuperación o dejarlo con una discapacidad permanente e incluso causarle la muerte.
¿Cuáles son estas señales?
El médico neurólogo del Instituto Nacional de Ciencias Neurológicas (INCN), Carlos Abanto, señala que entre los principales síntomas se encuentran: la desviación de la cara hacia un lado, alteración del equilibrio, parálisis de un lado del cuerpo, problemas en la visión y alteración del habla. Estos síntomas son de inicio súbito y brusco.
Indica que el ACV es un trastorno neurológico de inicio repentino debido a un daño en los vasos sanguíneos que tiene como consecuencia el daño permanente o transitorio de un área cerebral.
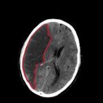
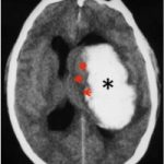
Existen dos tipos de ACV: el isquémico, que representa el 80% de los casos y sucede cuando hay una obstrucción en un vaso sanguíneo cerebral. El otro tipo es el hemorrágico, que representa el 20%, y es ocasionado por la ruptura de un vaso sanguíneo.

Isquémico

Hemorrágico
¿Por qué urge que el paciente sea trasladado al hospital?
El especialista explica que los pacientes con ACV isquémico deben recibir atención con prontitud porque existe un periodo de cuatro horas y media, a partir del inicio de los síntomas, para que se administre un fármaco llamado trombólisis. Este tratamiento se aplica vía endovenosa, disolviendo los coágulos sanguíneos, y cuanto antes se dé, mejor resultado habrá en la recuperación de la persona.
En pacientes seleccionados puede utilizarse la trombectomía mecánica hasta 24 horas del inicio de los síntomas, siendo un procedimiento altamente especializado.
En el Perú, para trasladar a una persona a un establecimiento de salud especializado, existe el SAMU con personal capacitado. Pueden comunicarse con ellos marcando el 106. También están los bomberos: 116.
Segunda causa de muerte
Según la Organización Mundial de la Salud (OMS), el ACV constituye la segunda causa de muerte y una de las principales causas de discapacidad en el mundo.
Otro dato alarmante es que una de cada cuatro personas tendrá en su vida un episodio de ataque cerebrovascular.
La noticia alentadora es que el 90% de los episodios de ACV son prevenibles. ¿Cómo? Controlando los factores de riesgo.
¿Cuáles son?
El ACV puede ocurrir a cualquier edad y sin importar el sexo; sin embargo, tiene un ligero predominio en el sexo masculino y aumenta en frecuencia conforme avanza la edad.
Los principales factores de riesgo son la hipertensión arterial, la diabetes mellitus, el colesterol elevado, el tabaquismo, la obesidad, el alcoholismo, el sedentarismo y la arritmia cardiaca.
Tras un evento de ACV, la rehabilitación debe comenzar en el hospital lo más pronto posible. Esta puede mejorar la función neurológica y ayudar al sobreviviente a recuperar la mayor independencia posible con el tiempo.
Prevención es lo más importante:
Los cambios en el estilo de vida pueden reducir enormemente el riesgo de padecer un ACV. Estos cambios incluyen seguir una buena alimentación rica en frutas y verduras, pescado, carnes blancas (pollo, pavo), evitar la sal y las grasas, mantenerse físicamente activo (ejercicios de 40 minutos 3 a 4 veces por semana), no fumar y limitar el consumo de alcohol.

Escala RAPIDO para la detección temprana del ACV
INCN


